• 重度牙齿脱落选择种植方案

    性别:男
    年龄:69

    牙齿问题:重度牙周病牙齿脱落
    治疗方案:奥齿泰种植体14颗

    了解详情 咨询医生
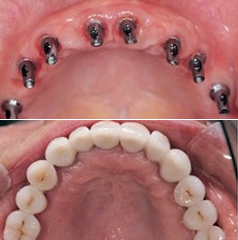
  • 王叔种植案例

    性别:男
    年龄:64

    牙齿问题:下半口牙齿缺失
    治疗方案:半口种植

    了解详情 咨询医生
    • 12